| 工具

卵巢小细胞癌,肺型

Ovarian Small Cell Carcinoma, Pulmonary Type

发布时间:2015-12-27 11:59:04

同义词(或曾用名):小细胞神经内分泌癌;高级别神经内分泌癌

概述:

小细胞癌,类似于肺的小细胞神经内分泌癌

发病部位:卵巢

诊断要点:

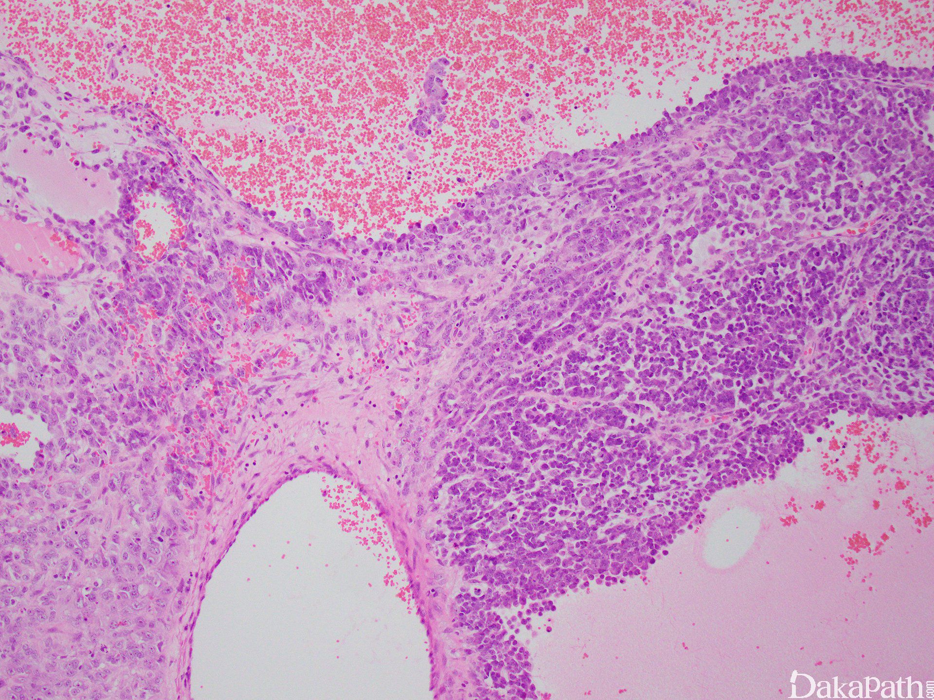
1.发生于绝经期前后, 40%以上为双侧发生;

2.肿瘤细胞呈弥漫片状、密集拥挤的巢状分布,有时呈岛状、小梁状、菊型团样及腺样构型;

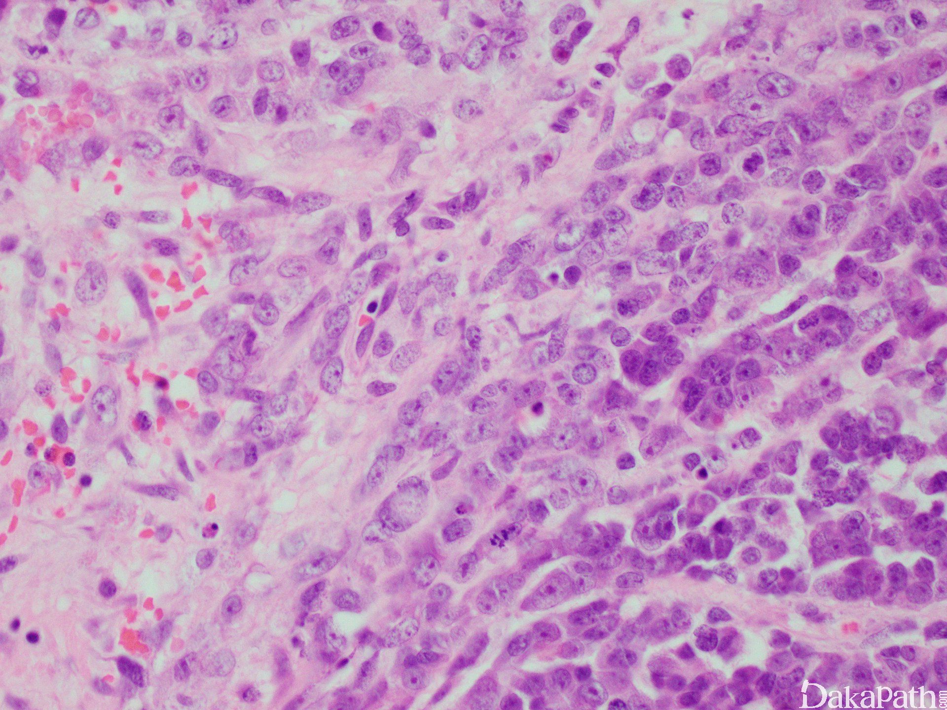
3. 细胞小或中等大,圆形至短梭形,胞质少,核深染,染色质似胡椒粉状,核分裂像多见, 坏死常见;

4. 多数病例有普通上皮成分如子宫内膜样癌、黏液癌;

5. 少数病例起源于卵巢畸胎瘤;

6. 神经内分泌标记阴性病例,如形态学典型仍可以诊断肺型小细胞癌。

免疫组织化学染色:

多数细胞表达CK、EMA,神经内分泌标记CgA、CD56、Syn等表达不一;少数病例可见CK20核周点状阳性,TTF-1表达不定,vimentin阴性。

鉴别诊断:

伴高钙血症的小细胞癌:

1. 肺型卵巢小细胞癌患者年龄较大,只见于绝经期前后的女性,无高钙血症;

2. 肺型小细胞癌40%以上为双侧发生,而高血钙型小细胞癌很少发生在双侧;

3. 组织学上,肺型小细胞癌的细胞具有匀细的染色质和不明显的核仁;而高血钙型小细胞癌的染色质呈块状、有明显的核仁,且40%的病例存在较大的细胞,胞质丰富、嗜伊红色;

4. 高血钙型常见滤泡样腔,而肺型小细胞癌几乎无此表现;

5. 半数以上肺型小细胞癌可见子宫内膜样肿瘤和Brenner瘤的成分,而高钙血症型小细胞癌则没有。

您还没有登录,请先登录

大伽病理

关于我们 | 加入我们 | 广告与服务 | 友情链接 | 网站管理 | 网站地图

© 2017 All Rights Reserved. 杭州大伽信息技术有限公司 版权所有 | 联系电话:13396585932

大伽病理网备案/许可证编号:浙ICP备19012671号


扫描下载APP客户端

扫描关注微信公众号